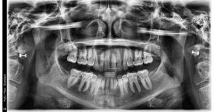
A 34- year old Caucasian female presents with a chief concern of “I don’t like my overbite and spaces between my front teeth.”