Login
Toggle main menu visibility
Home
About
Test Simulation
Practice Material
FAQs/Contact Us
Sign Up
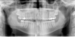
Opening Scenario
A 34.7 year old Caucasian male presents with a chief complaint that “I want to fix my bite”
Enlarge
Enlarge
Enlarge
Enlarge
You cannot view this unit as you're not logged in yet.