Login
Toggle main menu visibility
Home
About
Test Simulation
Practice Material
FAQs/Contact Us
Sign Up
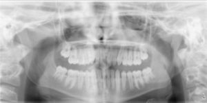
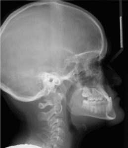
Opening Scenario
A 12.4 year old caucasian male presents with a chief complaint of “underbite and crooked teeth”
Enlarge
Enlarge
Enlarge
Enlarge
You cannot view this unit as you're not logged in yet.