Login
Toggle main menu visibility
Home
About
Test Simulation
Practice Material
FAQs/Contact Us
Sign Up
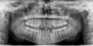
Opening Scenario
A 13-year-old female presents with a chief complaint that “My teeth aren’t in.”
Enlarge
Enlarge
Enlarge
You cannot view this unit as you're not logged in yet.