Login
Toggle main menu visibility
Home
About
Test Simulation
Practice Material
FAQs/Contact Us
Sign Up
Opening Scenario
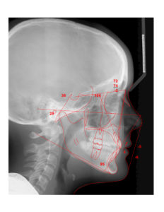
An 11.3 year old caucasian female presents with a chief concern that “my teeth don’t come together.”
Enlarge
Enlarge
Enlarge
Enlarge
Enlarge
You cannot view this unit as you're not logged in yet.