Login
Toggle main menu visibility
Home
About
Test Simulation
Practice Material
FAQs/Contact Us
Sign Up
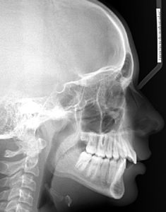
Opening Scenario
A 12 year old Caucasian male presents with a chief concern that “I don’t like my overbite”
Enlarge
Enlarge
Enlarge
Enlarge
You cannot view this unit as you're not logged in yet.