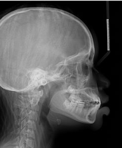
A 14.1 year old African American female presents with a chief concern that “my teeth have a lot of spaces.”