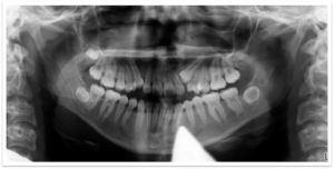
A 15 year old African American female presents with a chief concern that “I want to fix my canine and underbite”