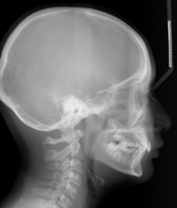
A 12 year old Asian female presents with a chief concern that “my teeth are crooked and I have a tooth stuck”