Login
Toggle main menu visibility
Home
About
Test Simulation
Practice Material
FAQs/Contact Us
Sign Up
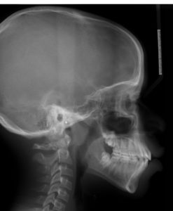
Opening Scenario
A 13.4-year-old African American male presents with a chief complaint that “My teeth look big.”
Enlarge
Enlarge
Enlarge
Enlarge
Enlarge
Sorry, but you're not allowed to access this unit.